La enfermedad de Alzheimer, que perjudica el funcionamiento de la memoria del ser humano y altera su comportamiento, puede tardar en manifestarse en el individuo, y su fase inicial se presenta al principio de la vejez.
Por eso, para acelerar la identificación de esta enfermedad, investigadores de la Universidad Johns Hopkins de Maryland (en EE.UU.) analizaron los registros de más de 290 personas —la mayoría poseía posibilidades de desarrollar alzhéimer por tenerlo en un historial familiar—y rastrearon los cambios clínicos y biológicos registrados entre 1995 y 2013.
Al final de ese período, los científicos comprobaron que 81 personas de la muestra habían desarrollado problemas cognitivos o de demencia, y sus registros mostraban diferencias respecto de los del resto de los participantes, entre otros cambios, se observaron aumentos en la proteína Tau, vinculada con el alzhéimer. Luego, a través de modelos hechos con computadora estimaron que ese incremento había comenzado, en promedio, 34,4 años antes de la aparición de los síntomas.
“Nuestro estudio sugiere que es posible utilizar imágenes del cerebro y análisis del fluido espinal para evaluar el riesgo de la enfermedad de Alzhéimer al menos diez años antes de que ocurran los síntomas más comunes, como el deterioro cognitivo leve”, explicó Laurent Younes, uno de los miembros del equipo del estudio, publicado recientemente en Frontiers in Aging Neuroscience.
Nuestro estudio sugiere que es posible utilizar imágenes del cerebro y análisis del fluido espinal para evaluar el riesgo de la enfermedad de Alzhéimeral al menos diez años antes de que ocurran los síntomas más comunes, como el deterioro cognitivo leve”, explicó Laurent Younes, uno de los miembros del equipo de la Universidad Johns Hopkins de EE.UU.
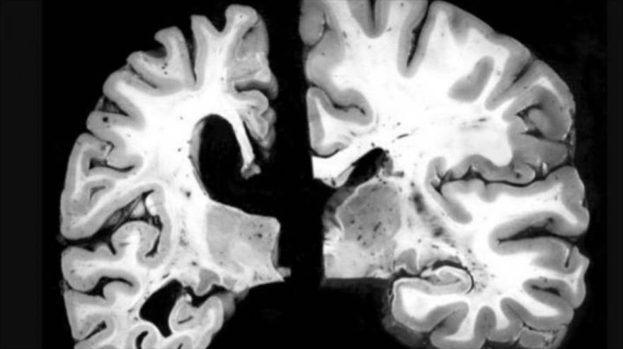
Los científicos también tuvieron acceso a imágenes de resonancia magnética (MRI), que fueron transformadas en algoritmos computarizados para descubrir cambios en la anatomía cerebral.
Los resultados de este estudio se pueden utilizar en el futuro para el diagnóstico de la enfermedad (incluso en diferentes etapas de su desarrollo). Es importante resaltar que la investigación todavía está en su fase inicial, y que la muestra es demasiado pequeña para generar resultados concluyentes. Sin embargo, las expectativas para el futuro son optimistas.
El objetivo final de la investigación es encontrar la combinación correcta de marcadores que indiquen un aumento de riesgo del compromiso cognitivo, y usar esa herramienta para orientar eventuales intervenciones médicas.
ncl/rha/myd/alg
