Ahora, un reciente estudio llevado a cabo por un equipo de científicos del departamento de ciencias de la nutrición y la alimentación de la Universidad de Texas A&M (EE.UU.) ha comprobado que el consumo habitual de ciruelas pasas puede ayudar a disminuir el riesgo de cáncer de colon.
A partir de este estudio pudimos concluir que las ciruelas pasas de hecho, parecen promover la retención de la microbiota beneficiosa y metabolismo microbiano en todo el colon, que se asoció con una reducción en la incidencia de las lesiones precancerosas”, explican los investigadores.
Las ciruelas poseen compuestos fenólicos que tienen distintas consecuencias positivas en nuestro organismo, como el hecho de servir de antioxidantes que neutralizan los efectos de los radicales libres, salvaguardando nuestro ADN, según informa Tech Times.
Teniendo en cuenta que las interrupciones en la microbiota pueden ayudar a la inflamación intestinal inicial y a la inflamación recurrente y que esto puede conducir, a largo plazo, al desarrollo de cáncer de colon, los investigadores realizaron un experimento con ratones de laboratorio con objeto de probar el efecto en la microbiota de los compuestos de las ciruelas pasas.

Así, los ratones con cáncer de colon fueron divididos en dos grupos: al primer grupo se le administró una dieta con ciruelas pasas y al segundo grupo una dieta de control.
Una vez examinados los contenidos intestinales y los tejidos de diferentes segmentos del colon de los roedores, los científicos descubrieron que la dieta de ciruelas pasas había cambiado los niveles de los dos principales tipos de bacterias del intestino, fomentando la retención de la microbiota.
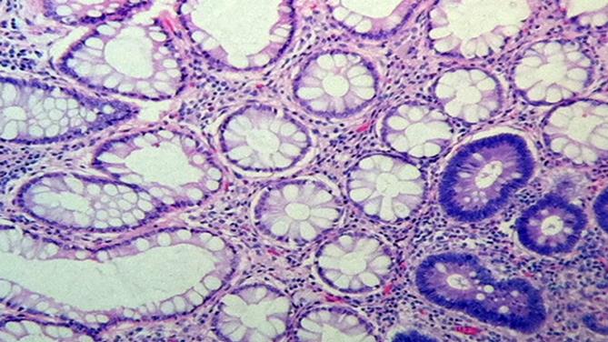
Además, el número de focos de cripta aberrantes (agrupación de glándulas anormales en forma de tubo en el revestimiento del colon y el recto que pueden derivar en cáncer) se redujo considerablemente en comparación con el grupo de control.
“A partir de este estudio pudimos concluir que las ciruelas pasas de hecho, parecen promover la retención de la microbiota beneficiosa y metabolismo microbiano en todo el colon, que se asoció con una reducción en la incidencia de las lesiones precancerosas”, explica Nancy Turner, líder del estudio.
myd/anz/rba
